Navigation überspringen Sitemap anzeigen

Operative Behandlungen bei Problemen mit der Wirbelsäule oder Bandscheibe im Raum Wien

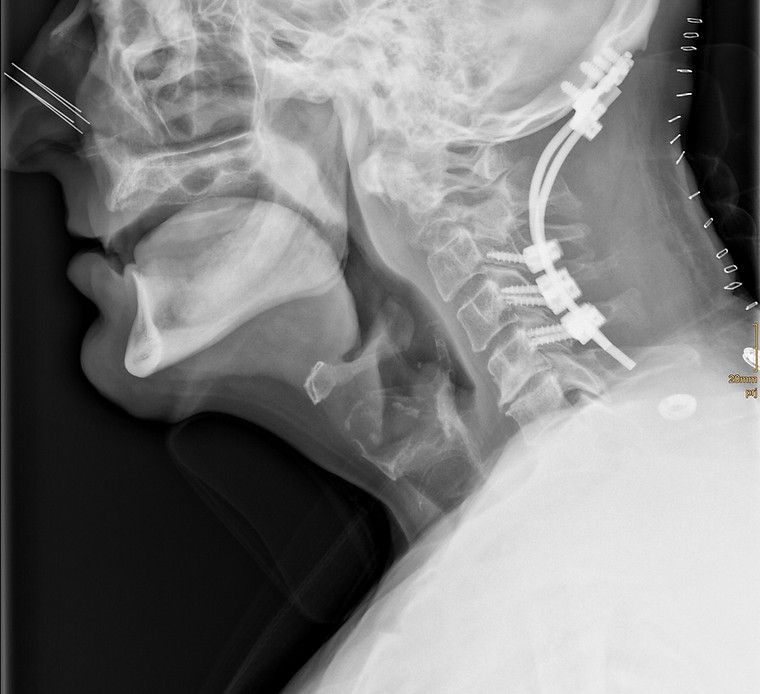
Als Facharzt für Orthopädie lag mein Schwerpunkt als Oberarzt im Wirbelsäulenteam des AKH Wien von 2019 bis 2024 auf der operativen Versorgung von Erkrankungen der Wirbelsäule. In den vergangenen Jahren habe ich viele hundert Wirbelsäulenoperationen durchgeführt – von mikrochirurgischen Eingriffen bis hin zu minimalinvasiven rekonstruktiven Verfahren. Dank meiner langjährigen Erfahrung verfüge ich über besondere Expertise in Bandscheibenoperationen, Dekompressionen sowie in der chirurgischen Behandlung schwerer Wirbelsäulenpathologien. Diese Eingriffe erfordern höchste Präzision, Sorgfalt und ein tiefes Verständnis der individuellen Krankheitsbilder. Besonders wichtig ist mir dabei, Sie umfassend zu beraten und gemeinsam mit Ihnen die für Sie beste Therapieentscheidung zu treffen. Ich nehme mir ausreichend Zeit für Ihre Fragen und sorge dafür, dass Sie sich medizinisch wie menschlich gut aufgehoben fühlen.

Operative Versorgung von Erkrankungen – die wichtigsten Punkte im Überblick:

Mikrochirurgische Eingriffe

Es werden mikrochirurgische Bandscheibenoperationen und Dekompressionen durchgeführt.

Rekonstruktive Wirbelsäulenchirurgie

Wirbelsäulenpathologien werden durch minimalinvasive rekonstruktive Eingriffe versorgt.

Langjährige Erfahrung

Die hohe Expertise ergibt sich aus mehreren hundert erfolgreich durchgeführten Operationen.

Operative Standorte

Operative Eingriffe sind in der Wiener Privatklinik sowie im Evangelischen Krankenhaus möglich.

Individuelle Betreuung

Patientinnen und Patienten erhalten eine individuelle Beratung und Begleitung vor, während und nach dem Eingriff.

Auf Wunsch ist auch eine Durchführung in einem anderen Wiener Privatspital möglich. Gerne bespreche ich mit Ihnen persönlich, welche Option für Sie am besten geeignet ist.

Zum Seitenanfang